さぬき市・東かがわ市の歯医者・歯科医院なら

〒769-2101 香川県さぬき市志度4127番地
JR「志度駅」南口より徒歩20分、タクシー3分

診療時間
9:00~13:00 × ×
14:30~18:00 × ×

休診日:水曜・日曜・祝日
※祝日のある週の水曜は診療しています。

お電話でのご予約・お問合せはこちら(診療時間内での対応になります)

087-899-5891

治療症例2

インプラントの治療症例

インプラント治療症例をご紹介します。

インプラント治療 症例1

インプラント治療 症例1(術前)

前歯が脱離して来院された患者様です。前歯が取れた原因を説明し、根本治療をお勧めしたところ、インプラント治療を希望されました。

インプラント治療 症例1(術前1)
インプラント治療 症例1(術前3)
インプラント治療 症例1(術前2)
インプラント治療 症例1(術中)

上の被せものを外すと、虫歯でほとんど歯がない状態でした。この状態で入れ歯を作っても、針金かけたらすぐに歯がだめになってしまうところですが、インプラント治療を行うことによってこういった歯をきちんと長期間保存できます。たに歯科クリニックでは、インプラントを自分の歯を残すためのツールと考えて日々診療しております。

インプラント治療 症例1(術中1)
インプラント治療 症例1(術中2)
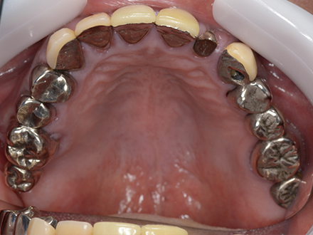
インプラント治療 症例1(術後)

右上、左下、右下にインプラント治療を行いました。もちろん、現存する歯の治療もきっちり行っております。「なんの違和感もなく調子いい」と患者様から喜んで頂いております。このような良好な結果を生み出すためには患者様の協力が必要不可欠であり、協力していただいた患者様に感謝しております。

インプラント治療 症例1(術後1)
インプラント治療 症例1(術後3)
インプラント治療 症例1(術後2)

H.T様 男性 57歳

行った治療内容:インプラント治療

治療の期間:約22か月
治療の価格:2,400,000円(税込2,640,000円 )/1口腔あたり ※自費診療となります。

治療のリスクや副作用:手術後に、痛みや腫れ、出血、合併症などを引き起こす可能性があります。噛む感覚がご自身の歯と異なる場合があります。見た目がご自身の歯と異なる場合があります。手術後にメインテナンスを継続しないと、インプラントが抜け落ちる可能性があります。

インプラント治療 症例2

インプラント治療 症例2(術前)

前歯の詰め物が脱離して来院された患者様です。咬み合わせにとって形態が良くない被せもの(不良補綴物)が見受けられましたので説明したところ、きちんとした治療を行うこととなりました。

インプラント治療 症例2(術前1)
インプラント治療 症例2(術前3)
インプラント治療 症例2(術前2)
インプラント治療 症例2(術後)

上顎に2本のインプラントに支えられた入れ歯を装着し、下顎の歯がない部位には4本のインプラント治療を行いました。

このように入れ歯の下にインプラントを入れることによって食事中に外れにくく、入れ歯の沈下が起こらないので歯ぐきの痛みも起こりにくい入れ歯の作成が可能になります。患者様には「しっかり噛めて不満はないです」とおっしゃっていただいております。

インプラント治療 症例2(術後1)
インプラント治療 症例2(術後3)
インプラント治療 症例2(術後2)
インプラント治療 症例2(術後4)

A・H 様 男性 74歳

行った治療内容:インプラント治療

治療の期間:約14か月
治療の価格:3,200,000円(税込3,520,000円 )/1口腔あたり ※自費診療となります。

治療のリスクや副作用:手術後に、痛みや腫れ、出血、合併症などを引き起こす可能性があります。噛む感覚がご自身の歯と異なる場合があります。見た目がご自身の歯と異なる場合があります。手術後にメインテナンスを継続しないと、インプラントが抜け落ちる可能性があります。

インプラント治療 症例3(骨造成)

インプラント治療 症例3(術前)

右上の犬歯が歯根破折で保存困難になった患者様です。このように真っ二つに割れており、残念ながら抜歯となりました。

インプラント治療 症例3(術前1)
インプラント治療 症例3(術前2)
インプラント治療 症例3(術中)

同部位にインプラント治療を行うこととなりましたが、このように割れていた歯の影響で骨が吸収してインプラントを埋入するための骨が不足していることが分かります。そこで、このようにチタンメッシュという特殊な膜を使ってGBR(骨を作る処置)を行います。これで約4カ月ほど待って、チタンメッシュを取り除く手術を行います。しっかり骨が出来ているのが確認できます。

インプラント治療 症例3(術中1)
インプラント治療 症例3(術中3)
インプラント治療 症例3(術中2)
インプラント治療 症例3(術後)

あとは傷の治りを待って被せものを入れて完成です。このように、より高度な知識と技術によって従来不可能だった部位へのインプラント治療も可能になります。インプラント治療は出来ないと言われた方も、是非たに歯科クリニックにご相談下さい。

インプラント治療 症例3(術後1)

Y・T 様 男性 73歳

行った治療内容:インプラント治療+GBR(骨造成)

治療の期間:約8か月
治療の価格:470,000円(税込517,000円 )/1歯あたり ※自費診療となります。

治療のリスクや副作用:手術後に、痛みや腫れ、出血、合併症などを引き起こす可能性があります。個人差により、予定量の再生ができない場合は再手術が必要になる場合があります。組織が再生するまで数か月の期間がかかります。

インプラント治療 症例4
(インプラント治療とセラミック治療と咬合治療(前歯))

インプラント治療 症例4(術前)

事故で前歯をぶつけた患者様です。(緑色矢印)が事故の影響で割れているのが分かります。また、(黄色矢印)にも違和感があるとのことで元々の被せ物を外してみると、粉々に割れており、残念ながら抜歯となりました。患者様と相談した結果、度重なる歯科治療によって咬み合わせにも問題を起こしておりましたので、前歯も含め全体的に治療を行うこととしました。

インプラント治療 症例4(術前1)
インプラント治療 症例4(術前2)
インプラント治療 症例4(術中)

事故によって保存困難になった部位にはインプラント治療を行うこととなりました。

インプラント治療 症例4(術中1)
インプラント治療 症例4(術後)

治療後の正面観です。(黄色矢印)はインプラント治療、(緑色矢印)はセラミック治療を行いました。違和感のない自然な仕上がりになっています。

インプラント治療 症例4(術後1)

巷でよく見かけますが、そこだけきれいにして終わりという審美治療があります。当院の見解では、それは真の審美治療ではありません。咬み合わせなどを無視して治療が長持ちすることはありませんので、当院では悪くなった根源である咬み合わせから治療することを基本的にはお勧めしております。この患者様も、丁寧な咬合治療によりずれていた上下の正中も完全ではありませんが合ってきております(黄色線)。ちなみに咬み合わせを治療して長年の肩こり、頭痛も改善したとのことで、大変喜んで頂けました。

Before

After

このように根本的にきちんと治したい患者様をたに歯科クリニックでは全力で応援いたします。

I・M 様 女性 

行った治療内容:インプラント治療+セラミック治療+咬合治療

治療の期間:約20か月
治療の価格:800,000円(税込880,000円 )/前歯4歯あたり ※自費診療となります。

治療のリスクや副作用:手術後に、痛みや腫れ、出血、合併症などを引き起こす可能性があります。噛む感覚がご自身の歯と異なる場合があります。見た目がご自身の歯と異なる場合があります。手術後にメインテナンスを継続しないと、インプラントが抜け落ちる可能性があります。

矯正歯科の治療症例

矯正歯科の治療症例をご紹介します。

矯正歯科の治療症例1

奥歯で咬めないので矯正治療をしたいとの訴えで来院された患者様です。

矯正歯科治療 症例1(術前)

他院で、小臼歯を抜歯するか、あごの骨を切る手術を行うしかないと言われたとのことでした。

矯正歯科治療 症例1(術中)

術前に十分な診査、診断、カウンセリングを行い、ゴムメタルワイヤーを用いて当院で非抜歯にて治療を行いました。

矯正歯科治療 症例1(術後)

当院の咬み合わせを考慮した矯正治療により、治療期間1年半でしっかり咬めるようになったと患者様に喜んでいただけました。

J・K 様 女性 29歳

行った治療内容:ゴムメタルワイヤーによるワイヤー矯正

治療の期間:約15か月
治療の価格:800,000円(税込880,000円 ) ※自費診療となります。

治療のリスクや副作用:歯と顎のバランスによってはご自身の歯を抜く場合があります。まれに歯の根が短くなる可能性があります。装置装着後、痛みを感じることがあります(歯が動く正常な反応なので心配ありません)。頬の粘膜・唇・舌などに、口内炎ができることがあります。歯周病等で歯ぐきが下がっている方は、歯を動かすことでさらに歯ぐきが下がる可能性があります。重なっていた歯がきれいに並んだことで歯ぐきと両隣の歯との間に三角形の隙間ができる可能性があります。

矯正歯科の治療症例2

受け口を気にされて来院されたお子様の患者様です。

矯正歯科治療 症例2(術前)

受け口を気にされて来院されたお子様です。

矯正歯科治療 症例2(術後)

わずか2ヶ月で受け口が改善されました。

M・U 様 女性 5歳

行った治療内容:ムーシールド

治療の期間:約3か月
治療の価格:50,000円(税込55,000円 ) ※自費診療となります。

治療のリスクや副作用:毎日の装着を怠ると良好な結果が得られません。生涯の歯並びを保証するものではありません(成長によりまた受け口になる可能性があります)

矯正歯科の治療症例3(部分矯正)

矯正歯科の治療症例3 部分矯正(術前)

前歯の前突を気にされて来院された患者様です。患者様と相談した結果、前歯のみの矯正にて前突を改善する治療を行うこととしました。

部分矯正(術前1)
部分矯正(術前3)
部分矯正(術前2)
部分矯正(術前4)
矯正歯科の治療症例3部分矯正(術中)

前歯のみ動かすためにマルチブラケット装置を用いて治療を行いました。

部分矯正(術中)
矯正歯科の治療症例3部分矯正(術後)

治療期間約4カ月にて終了しました。患者様には「ずっとコンプレックスだった歯並びが良くなって治療して良かった」と喜んで頂けました。

一生歯並びを気にして過ごすか、一回治療を頑張って今後の人生思いっきり笑って過ごすかはそれぞれの患者様の価値観ですが、今後の患者様の人生を明るくする手助けをさせていただけてこれほど歯科医師として嬉しいことはないと感じております。

部分矯正(術後1)
部分矯正(術後3)
部分矯正(術後2)
部分矯正(術後4)

W・A 様 女性 32歳

行った治療内容:ワイヤー矯正

治療の期間:約4か月
治療の価格:150,000円(税込165,000円 ) ※自費診療となります。

治療のリスクや副作用:まれに歯の根が短くなる可能性があります。装置装着後、痛みを感じることがあります(歯が動く正常な反応なので心配ありません)。頬の粘膜・唇・舌などに、口内炎ができることがあります。歯周病等で歯ぐきが下がっている方は、歯を動かすことでさらに歯ぐきが下がる可能性があります。重なっていた歯がきれいに並んだことで歯ぐきと両隣の歯との間に三角形の隙間ができる可能性があります。

矯正歯科の治療症例4(顎変位)

矯正歯科の治療症例4 顎変位(術前)

正中のズレと前歯が咬んでいないことが気になるとのことで来院された患者様です。元々下の前歯が一本少なく、上下の正中にかなりのズレを認めます(黄色線)。

顎変位(術前1)
顎変位(術前3)
顎変位(術前2)
矯正歯科の治療症例4 顎変位(術中)

術前の診査診断の元、ゴムメタルを用いて咬み合わせを考慮した矯正治療を行います。

一般的には小臼歯抜歯、もしくは外科矯正(手術をして顎のズレを修正する矯正治療)になる症例ですが、当院ではこれだけの正中のズレがあっても外科矯正はもちろん小臼歯の抜歯も行わずに治療できます。

顎変位(術中1)
顎変位(術中3)
顎変位(術中2)
矯正歯科の治療症例4 顎変位(術後)

矯正治療後です。治療期間は約13カ月です。

あれだけあった正中のズレも改善し、前歯はもちろん奥歯もきちんとした咬み合わせになり、患者様には大変喜んで頂けました。

顎変位(術後1)
顎変位(術後3)
顎変位(術後2)

このように、より高度な知識と技術によって従来不可能だった矯正治療も可能になります。

小臼歯を抜歯しないと矯正できないと言われたが抜きたくない方、手術しないと矯正できないと言われた方、矯正治療自体出来ないと言われた方など、是非たに歯科クリニックにご相談ください。

I・K 様 女性 20歳

行った治療内容:ゴムメタルワイヤーによるワイヤー矯正

治療の期間:約13か月
治療の価格:800,000円(税込880,000円 )※自費診療となります。

治療のリスクや副作用:歯と顎のバランスによってはご自身の歯を抜く場合があります。まれに歯の根が短くなる可能性があります。装置装着後、痛みを感じることがあります(歯が動く正常な反応なので心配ありません)。頬の粘膜・唇・舌などに、口内炎ができることがあります。歯周病等で歯ぐきが下がっている方は、歯を動かすことでさらに歯ぐきが下がる可能性があります。重なっていた歯がきれいに並んだことで歯ぐきと両隣の歯との間に三角形の隙間ができる可能性があります。

検診・歯石取り・歯のクリーニング・フッ素塗布などもご予約いただけます。3か月先のご予約もお気軽にどうぞ。

087-899-5891

診療時間

 
午前 × ×
午後 × ×

午前:9:00~13:00
午後:14:30~18:00
※祝日のある週の水曜は診療しています。
休診日:水曜・日曜・祝日

087-899-5891

〒769-2101
香川県さぬき市志度4127番地
JR「志度駅」南口より徒歩20分、タクシー3分